【佳学基因检测】原发性甲状旁腺功能亢进及钙代谢基因解码基因检测
原发性甲状旁腺功能亢进症基因检测介绍
儿科患者由原发性甲状旁腺功能亢进症 (PHPT) 引起的高钙血症危象非常罕见,并且尚未充分证明针对这种情况的适当治疗方法。在这里,原发性甲状旁腺功能亢进及钙代谢异常基因检测位点及注释依据报告一例原发性甲状旁腺功能亢进引起的男孩高钙血症危象。
原发性甲状旁腺功能亢进症案例描述
一名 11 岁男孩因持续 3 个月的腹痛和恶心到诊所就诊,但无法确定其症状的原因。由于这些症状在 1 个月后恶化,他被转诊到附近的医院。该男孩的白蛋白校正血清钙水平非常高(14.3 mg/dL)。立即开始治疗,给予生理盐水、速尿和降钙素以降低他的血清钙水平。基于完整的甲状旁腺激素 (i-PTH) (405 pg/mL) 水平升高和影像学检查显示右上甲状旁腺增大,他被诊断为原发性甲状旁腺功能亢进引起的高钙血症危象。由于他的白蛋白校正血清钙水平增加到 16.5 mg/dL,并且由于严重的恶心,他几乎不能进食任何食物,他被转移到我院并接受了帕米膦酸盐治疗。尽管他的白蛋白校正血清钙水平降至 14.0 mg/dL,但他的症状并没有完全改善。因此,在转入我院2天后,他接受了紧急手术切除了肿大的右上甲状旁腺。切除增大的甲状旁腺后 15 分钟,血清完整 PTH 水平降至 41.7 pg/mL。甲状旁腺肿大的组织病理学诊断为腺瘤。男孩无症状,术后 6 个月他的白蛋白校正血清钙水平保持在正常范围内。MEN1和CDC73基因,迄今为止尚未发现遗传易感性。
原发性甲状旁腺功能亢进及钙代谢结论
当儿科患者出现原发性甲状旁腺功能亢进引起的高钙血症危象时,在基因检测之前进行紧急重点甲状旁腺切除术可能是一种合适的策略。
关键词: 高钙血症危象,原发性甲状旁腺功能亢进(PHPT),儿科患者,病例报告
原发性甲状旁腺功能亢进及钙代谢介绍
原发性甲状旁腺功能亢进症 (PHPT) 是成人常见的内分泌疾病 。然而,儿科患者的原发性甲状旁腺功能亢进很少见,估计每 300,000 名儿科患者中有 1 例发生率 。迄今为止,全世界仅报告了大约 200 例儿科患者和青少年的原发性甲状旁腺功能亢进。
儿科患者原发性甲状旁腺功能亢进的独特特征之一是受影响的患者往往在诊断为高钙血症 之前就有原发性甲状旁腺功能亢进症状,这与成人无症状原发性甲状旁腺功能亢进的主导地位形成鲜明对比。成人的这种原发性甲状旁腺功能亢进特征被认为归因于健康检查中血清钙水平检查的频率增加。同时,儿科患者延迟诊断原发性甲状旁腺功能亢进直到患者出现症状,部分原因可能是在学龄儿童的健康检查中没有常规进行血液检查。此外,一般而言,由高钙血症引起的症状可能并不具体,例如腹痛、恶心或疲劳。由于原发性甲状旁腺功能亢进在儿科患者中的罕见性和这些非特异性症状,在儿科实践中可能难以早期诊断 原发性甲状旁腺功能亢进。
高钙血症危象定义为白蛋白校正血清钙水平 > 14 mg/dL,并伴有多器官功能障碍和严重症状,包括昏迷、精神改变、厌食和恶心 。高钙血症危象是原发性甲状旁腺功能亢进的严重并发症。原发性甲状旁腺功能亢进的延迟诊断有时会导致这种内分泌急症,如果没有得到充分的治疗,甚至可能导致致命的后果 。然而,由于原发性甲状旁腺功能亢进在儿科患者中很可能是有症状的,即使症状模糊,也通常在发生高钙血症危象之前就被诊断出来。事实上,只有 6 例原发性甲状旁腺功能亢进引起儿科患者高钙血症危象的报告。因此,尚未证明针对这种情况的适当治疗方法。在患有原发性甲状旁腺功能亢进的儿科患者中,遗传性疾病可能会影响手术方式的选择(全甲状旁腺切除术和自体移植或聚焦甲状旁腺切除术)。因此,在手术前进行基因检测是合理的。但是,如果发生高钙血症危机,原发性甲状旁腺功能亢进及钙代谢异常基因检测位点及注释依据可能没有足够的时间等待基因检测的结果。因此,对于患有原发性甲状旁腺功能亢进引起的高钙血症危象的儿科患者,可能允许在没有基因检测结果的情况下进行紧急集中甲状旁腺切除术。
在这里,原发性甲状旁腺功能亢进及钙代谢异常基因检测位点及注释依据报告一例原发性甲状旁腺功能亢进引起的 11 岁男孩高钙血症危象,回顾文献,并讨论原发性甲状旁腺功能亢进引起的儿科高钙血症危象的治疗策略。原发性甲状旁腺功能亢进及钙代谢异常基因检测位点及注释依据根据 CARE 报告清单(可在https://gs.amegroups.com/article/view/10.21037/gs-22-92/rc获得)提出以下案例。
原发性甲状旁腺功能亢进及钙代谢案例展示
一名无严重疾病史或内分泌疾病家族史的 11 岁男孩因腹痛和恶心 3 个月到诊所就诊。进行了体格检查和血液检查。由于未检测血清钙,因此未发现高钙血症。随后,开始对症治疗。然而,他的症状恶化了。随后,男孩被送往附近医院接受进一步检查。血液化学检测显示白蛋白校正血清钙水平(14.3 mg/dL)显着升高(正常范围,8.7-10.2 mg/dL)和完整甲状旁腺激素(PTH)水平升高(405 pg/mL)(正常范围,10.0–65.0 pg/mL)。颈部超声检查显示甲状腺右叶背侧有一个大小为 15×9 毫米的明确肿块,图 1A)。对比增强计算机断层扫描还显示右上甲状旁腺增大(图 1B),这被认为是扩大的右上甲状旁腺。未检测到肾结石。Tc-99m sestamibi 闪烁显像显示与该肿块一致的积聚,没有检测到提示甲状旁腺的其他积聚(图 1C、1D)。他的腰骨矿物质密度为 0.682 g/cm 2,相对于他的年龄而言相对较低(一个 11 岁的日本男孩的正常范围:0.694–0.706 g/cm 2)。基于这些发现,他被诊断为原发性甲状旁腺功能亢进引起的高钙血症。立即开始治疗高钙血症,静脉输注生理盐水(2,400 mL/天)和速尿(60 mg/天)以促进钙排泄。患者还接受了降钙素(40 单位/天)。然而,高钙血症恶化(16.5 mg/dL),入院 2 天后出现严重恶心和全身乏力的高钙血症危象。由于这些症状,他几乎不能吃任何食物,变得昏昏欲睡。

图1:超声 (A)、对比增强计算机断层扫描 (B) 和 Tc-99m sestamibi 闪烁显像 (C,D) 发现。(A,B)在甲状腺右叶上极后发现一个 15×9 毫米的肿块(箭头),提示右上甲状旁腺肿大。(C,D)Tc-99m sestamibi 在该肿瘤中被摄取(箭头)。
孩子随后被转移到原发性甲状旁腺功能亢进及钙代谢异常基因检测位点及注释依据医院接受重症监护。转院当天,他的白蛋白校正血清钙水平进一步升高至 18.0 mg/dL(图 2)。同时,他的血清磷水平低(1.6 mg/dL)(正常范围,3.9-5.8 mg/dL)。其他数据如下,镁1.4 mg/dL(正常范围,1.8-2.3 mg/dL),碱性磷酸酶325 U/L(正常范围,154-431 U/L),25-羟基维生素D 25.5 ng/mL (正常范围:超过 20.0 ng/mL)、1,25-二羟基维生素 D 3113 pg/mL(正常范围,20-70 pg/mL),降钙素3.38 pg/mL(正常范围:小于9.52 pg/mL),PTH相关肽<1.0 pmol/L(正常范围:小于1.1 pmol /L),催乳素 2.0 ng/mL(正常范围,3.6–16.3 ng/mL),促肾上腺皮质激素 (ACTH) 43.4 pg/mL(正常范围,7.2–63.3 pg/mL)和胰岛素 9.4 µU/mL(正常范围,5.0–25.0 µU/mL)。他的尿钙水平为15.5 mg/dL,尿钙/肌酐清除率为1.67。肾小管对磷酸盐的重吸收低至 61.0%(正常范围,80.0-94.0%),而钙的排泄分数高 0.08(正常范围,0.02-0.04)。由于需要降低血清钙水平,除了静脉输注生理盐水(70-150 mL/小时根据尿量调整)外,给予单剂量帕米膦酸盐(30 mg),速尿(10 毫克/天)和降钙素(60 单位/天)。两天后,白蛋白校正血清钙水平降至 14.0 mg/dL(图 2)。然而,他的症状并没有完全好转,他仍然不能进食。因此,原发性甲状旁腺功能亢进及钙代谢异常基因检测位点及注释依据在转移到我院 2 天后进行了紧急甲状旁腺切除术。切除肿大的右上甲状旁腺。考虑到遗传病的可能性,原发性甲状旁腺功能亢进及钙代谢异常基因检测位点及注释依据还打算切除右下正常甲状旁腺。然而,原发性甲状旁腺功能亢进及钙代谢异常基因检测位点及注释依据无法检测到右下甲状旁腺。考虑到右侧气管旁脂肪组织和胸腺右上极可能存在右下甲状旁腺,原发性甲状旁腺功能亢进及钙代谢异常基因检测位点及注释依据也切除了这些组织。右上甲状旁腺切除 15 分钟后,完整 PTH 水平降至 41.7 pg/dL。第二天,白蛋白校正的血清钙水平降至 12.3 mg/dL(图 2)。右上甲状旁腺的大小和重量分别为 15×10 mm 和 320 mg。组织病理学检查显示肿大的腺体为腺瘤(图 3),并且切除的脂肪组织和胸腺都不含任何甲状旁腺组织。术后过程顺利,原发性甲状旁腺功能亢进引起的症状立即得到改善。术后第 6 天白蛋白校正血清钙水平逐渐降至 8.8 mg/dL(图 2)。为预防低钙血症,给予口服乳酸钙(3 g/天)和阿法骨化醇(0.75 µg/天),并根据血清钙水平逐渐减量。手术后六个月,他继续接受阿法骨化醇(0.25 µg/天),他的白蛋白校正血清钙和完整 PTH 水平维持在正常范围内。术后6个月腰椎骨密度改善至0.774 g/cm 2,近期将停用阿法骨化醇。由于原发性甲状旁腺功能亢进发生在年轻时,因此考虑了遗传病的可能性。因此,原发性甲状旁腺功能亢进及钙代谢异常基因检测位点及注释依据在手术后对多发性内分泌肿瘤1型(MEN1)和甲状旁腺功能亢进-颌骨肿瘤综合征(HPT-JT)进行了基因检测。然而,原发性甲状旁腺功能亢进及钙代谢异常基因检测位点及注释依据没有在MEN1中检测到任何致病突变基因,MEN1 的致病基因,通过 Sanger 测序和多重连接依赖性探针扩增。此外,原发性甲状旁腺功能亢进及钙代谢异常基因检测位点及注释依据没有通过下一代测序检测到导致 HPT-JT的CDC73基因中的任何致病突变。迄今为止,虽然尚未检查其父母的血清钙水平,但尚未发现该家庭的遗传易感性。

图 2:临床过程中白蛋白校正的血清钙 (mg/dL) 和完整 PTH (pg/mL) 水平。PTH,甲状旁腺激素。

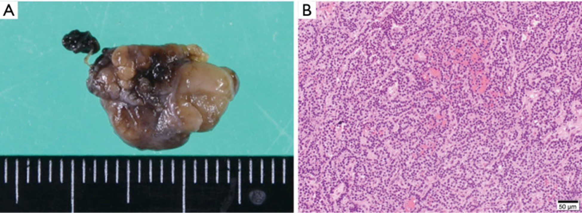
图 3:切除的甲状旁腺的大体外观(A)和组织病理学发现(B)。(A) 大小为 15×10 mm 的椭圆形块。(B) 主细胞增殖实性,无淋巴血管侵犯,与甲状旁腺腺瘤相符。HE ×20,比例尺,50 µm。
原发性甲状旁腺功能亢进及钙代谢讨论
在此,原发性甲状旁腺功能亢进及钙代谢异常基因检测位点及注释依据报告了一例原发性甲状旁腺功能亢进引起的高钙血症危象,该病例发生在一名 11 岁男孩中,该男孩在治疗失败后接受了紧急甲状旁腺切除术。以前的报告表明,原发性甲状旁腺功能亢进在儿科患者中很少出现高钙血症危象 。加上原发性甲状旁腺功能亢进在儿科患者中的罕见性,原发性甲状旁腺功能亢进在儿科患者中引起的高钙血症危机被认为是更罕见的疾病。在相对大量的患者队列研究中描述了原发性甲状旁腺功能亢进引起的儿科患者高钙血症危象,但很少有病例报告具有详细的临床病理学特征或临床过程。经过广泛的文献研究,原发性甲状旁腺功能亢进及钙代谢异常基因检测位点及注释依据发现了 6 篇关于原发性甲状旁腺功能亢进引起年龄≤18 岁患者的高钙血症危象的英文报告,具有详细的临床病理特征和临床病程(表1)。
表1:20 岁以下患者原发性甲状旁腺功能亢进引起的高钙血症危象的临床病理学特征
| 案子 | 作者 | 年龄/性别 | 原发性甲状旁腺功能亢进的FH | 血清钙 (mg/dL) | i-PTH (pg/mL) | 症状 | 罪魁祸首甲状旁腺 | 初始治疗 | 手术天数 | 操作程序 | 病理诊断 | 术后 i-PTH (pg/mL) | 术后课程 | 基因突变测试 | 结果 |
| 1 | 乔杜里等人 | 13楼 | 没有任何 | 18.5 | 1,198 | 剧烈腹痛 | 劣势 | 生理盐水; 速尿;降钙素帕米膦酸盐 | 2天 | Lt 下甲状旁腺切除术(单侧颈部探查) | 腺瘤 | 51.0 | 无症状,钙和阿法骨化醇补充剂 | 男士1 | 无突变 |
| 2 | 沃尔奇克等人 | 15/米 | 没有任何 | 14.5 | 880 | 步态障碍 | 劣质 | 生理盐水; 速尿;帕米膦酸盐 | ND | Rt 下甲状旁腺切除术(单侧颈部探查) | 腺瘤 | ND | 无症状,钙和阿法骨化醇补充剂 | ND | ND |
| 3 | 萨拉等人 | 16楼 | 没有任何 | 14.9 | 184 | 严重恶心; 精神状态改变 | 劣质 | 生理盐水; 速尿;帕米膦酸盐 | ND | Rt 下甲状旁腺切除术(单侧颈部探查) | 腺瘤 | ND | 无症状,钙和阿法骨化醇补充剂 | ND | ND |
| 4 | 帕尔等人 | 12/米 | 没有任何 | 14.1 | 203 | 总则;严重的腹痛; 严重恶心 | 劣势 | 生理盐水; 呋塞米 | ND | Lt 下甲状旁腺切除术(双侧颈部探查) | 腺瘤 | 28.0 | 无症状,无需补充 | 男士1 | 无突变 |
| 5 | 帕尔等人 | 16/米 | 没有任何 | 14.5 | 2,491 | 总则;感觉异常; 警觉性下降 | 劣势 | 生理盐水; 速尿;唑来膦酸盐 | 5天 | Lt 下甲状旁腺切除术(双侧颈部探查) | 腺瘤 | 43.0 | 无症状,无需补充 | 男士1 | 无突变 |
| 6 | 马梅多瓦等人 | 16楼 | 是的 | 16.7 | 2,207 | 病理性骨折;严重的恶心; 进行性减肥 | 劣质 | 生理盐水; 地诺塞麦 | 22 天 | Rt 下甲状旁腺切除术(单侧颈部探查) | 腺瘤 | 6.7 | 无症状,钙和阿法骨化醇补充剂 | CDC73 | 外显子 2 176C>T |
| 7 | 原发性甲状旁腺功能亢进及钙代谢异常基因检测位点及注释依据的案例 | 11/米 | 没有任何 | 18.0 | 406 | 严重恶心; 严重的全身疲劳 | 上级 | 生理盐水; 速尿;降钙素帕米膦酸盐 | 2天 | Rt 上甲状旁腺切除术(单侧颈部探查) | 腺瘤 | 41.7 | 无症状,钙和阿法骨化醇补充剂 | 男子1,CDC73 | 无突变 |
FH,家族史;PHPT,原发性甲状旁腺功能亢进症;钙,钙;i-PTH,完整的甲状旁腺激素;ND,未描述;GTCS,广义强直-阵挛性惊厥。
因为有必要降低血清钙水平,所以立即开始对所有 6 名患者进行初始治疗,包括输注生理盐水和/或速尿。表1. 然而,六分之四的病例(使用双膦酸盐(依替膦酸盐、帕米膦酸盐或唑来膦酸盐)降低血清钙水平,而在一个病例中,地诺单抗是核因子受体激活剂的人单克隆抗体给予κ-B配体。此外,有 1 例使用降钙素。在原发性甲状旁腺功能亢进及钙代谢异常基因检测位点及注释依据的案例中,双膦酸盐(帕米膦酸盐)和降钙素都用于抑制骨吸收。在原发性甲状旁腺功能亢进及钙代谢异常基因检测位点及注释依据的案例中,由于骨骼参与了血清钙水平的升高,双膦酸盐和降钙素对降低血清钙水平有一定的作用。至于其他抗骨吸收药物,目前用于治疗继发性甲状旁腺功能亢进症和甲状旁腺癌的西那卡塞未来可作为一种选择。尽管这些药物治疗在一定程度上降低了血清钙水平,但在住院后不久(入院后 1-5 天),有5名患者。另一名患者(病例 6)在入院 22 天后接受了手术。该病例有原发性甲状旁腺功能亢进家族史,因此在手术前进行了基因检测。初始治疗后的紧急手术可能是必要的,因为在无法提供及时和适当治疗的情况下,高钙血症可能导致致命的后果,而手术是原发性甲状旁腺功能亢进的唯一治疗方法 。在原发性甲状旁腺功能亢进及钙代谢异常基因检测位点及注释依据的案例中,男孩被诊断出患有高钙血症,白蛋白校正血清钙水平(18.0 mg/dL)高度升高,并伴有严重的恶心。然而,紧急手术避免了可能的致命后果。
尽管高钙血症危象的紧急手术对于预防致命结果是必要的,但应谨慎选择手术方法,因为原发性甲状旁腺功能亢进儿科患者发生 MEN1、MEN2A、HPT-JT 和家族性孤立性原发性甲状旁腺功能亢进等遗传性疾病的可能性高于成人。。当基因检测确认MEN1、RET或CDC73的致病突变时,分别是负责 MEN1、MEN2A 或 HPT-JT 的基因,应进行全甲状旁腺切除术和双侧颈部探查的自体移植。然而,由于需要几周时间才能获得基因检测结果,因此原发性甲状旁腺功能亢进及钙代谢异常基因检测位点及注释依据需要在没有关于需要紧急手术的高钙血症患者基因突变信息的情况下决定治疗策略。因此,原发性甲状旁腺功能亢进及钙代谢异常基因检测位点及注释依据认为聚焦甲状旁腺切除术是一种适当的治疗方法,可以迅速降低原发性甲状旁腺功能亢进引起的高钙血症危象儿科患者的血清钙水平,且侵袭性极小。事实上,先前报道的所有 6 例儿科患者高钙血症危象(见表1) 切除了一个增大的甲状旁腺,这导致血清钙水平下降。本例患者还接受了肿大的甲状旁腺切除术,血钙水平降至正常范围。在两个病例(病例 4 和病例 5)中,进行了双侧颈部探查,但除负责腺体之外的腺体由于大小正常而被保留。手术后血清完整 PTH 水平很快降至正常水平 。此外,在所有显示的情况下表1,切除的腺体经组织病理学诊断为腺瘤。
在与原发性甲状旁腺功能亢进相关的遗传性疾病中,MEN1 最为普遍;据报道,MEN1 在诊断为原发性甲状旁腺功能亢进的儿科患者中的频率约为 13% 。据报道,MEN1 相关原发性甲状旁腺功能亢进的临床表现轻微或无症状,血清钙轻度升高和完整的 PTH 水平 。沙里克等人。报道了60例18岁以下MEN1患者的临床特征,无一例患者出现高钙血症危象。因此,高钙血症危象似乎不太可能发生在 MEN1 儿科患者中。HPT-JT 是另一种遗传性疾病,可在儿科患者中出现 原发性甲状旁腺功能亢进。在儿童患者的 7 例高钙血症危象中显示表1,一例(病例 6)被诊断为 HPT-JT,CDC73中的致病突变证明了这一点。单个甲状旁腺肿瘤通常是导致 HPT-JT 患者发生原发性甲状旁腺功能亢进的原因。此外,HPT-JT 患者切除的甲状旁腺可能是病理性腺瘤或癌,而不是增生 。因此,聚焦甲状旁腺切除术可能是 HPT-JT 的可行选择。总而言之,原发性甲状旁腺功能亢进及钙代谢异常基因检测位点及注释依据认为聚焦甲状旁腺切除术是原发性甲状旁腺功能亢进引起的高钙血症儿科患者的合理策略。同时,原发性甲状旁腺功能亢进引起的高钙血症可能是原发性甲状旁腺功能亢进诊断延迟的结果。原发性甲状旁腺功能亢进的症状是异质的,如图所示表1,并且应该是模糊的和不具体的。因此,原发性甲状旁腺功能亢进的早期诊断可能很困难。然而,在治疗具有非特异性症状的儿科患者时,应考虑血清钙水平,因为它可以帮助原发性甲状旁腺功能亢进及钙代谢异常基因检测位点及注释依据在高钙血症危象发作之前识别原发性甲状旁腺功能亢进的可能性。儿科患者高钙血症的重要鉴别诊断是家族性低尿钙高钙血症(FHH),表现为高钙血症,钙排泄率低(≤0.01)。在原发性甲状旁腺功能亢进及钙代谢异常基因检测位点及注释依据的案例中,因为钙的排泄分数高达 0.08,所以排除了 FHH。
原发性甲状旁腺功能亢进引起的高钙血症危象在儿科患者中是一种罕见的疾病。虽然通常应考虑对原发性甲状旁腺功能亢进患儿进行基因检测,但当患者出现由原发性甲状旁腺功能亢进引起的高钙血症危象时,在基因检测之前进行紧急聚焦甲状旁腺切除术是一种合适的策略。当儿科患者出现非特异性症状时,血清钙水平检查对于在高钙血症危象发作前区分原发性甲状旁腺功能亢进很重要。
Gland Surg. 2022 Jul; 11(7): 1279–1286.
doi: 10.21037/gs-22-92
(责任编辑:admin)