【佳学基因检测】基因检测具有ALK 融合突变而且是高 PD-L1 表达的晚期肺腺癌患者 ALK-TKI 靶向药物治疗
晚期肺癌靶向药物治疗基因检测
呼吸科肿瘤基因解码表明,肺癌中≥50%的PD-L1阳性比例分数很少与表皮生长因子受体(EGFR)和间变性淋巴瘤激酶(ALK)等癌变驱动基因重叠。肺癌致病基因鉴定基因及用药指导基因解码对一个患者的初步基因检测显示具有ALK融合突变,PD-L1检测呈现高表达。根据基因检测结果,三甲医院主任医师制定了靶向药物治疗方案。
肺癌患者情况介绍:
一名 34 岁女性首次出现“反复发烧咳嗽 20 天”。患者不存在其他任何潜在病史。
肺癌精准用用药基因检测结果:
经过一系列影像学检查和穿刺活检,患者被诊断为IV期肺腺癌伴多发肝和骨转移,基因检测存在EML4-ALK融合,PD-L1肿瘤阳性细胞数 80%)。
肺癌精准用药治疗及干预方案
患者最初接受艾乐替尼靶向治疗。出现病情进展后,进行了第二轮基因检测,检测出患者同时具有 ALK 融合和 BRAF 突变。随后患者先后改用恩沙替尼联合达拉非尼、劳拉替尼联合达拉非尼治疗。
靶向药物治疗结果:
艾乐替尼初始疗效评价为部分有效(PR),其中无疾病进展期达到4个月。
靶向药物治疗医生评价:
具有 ALK 融合和高 PD-L1 表达的非小细胞肺癌对大多数当前的治疗方案反应不佳,ALK-酪氨酸激酶抑制剂治疗后的存活时间明显短于仅仅存在 ALK 融合基因突变的患者。
关键词: ALK,非小细胞肺癌,PD-L1
1.肺癌基因检测结果及治疗方案介绍
近年来,肺癌的诊断和治疗取得了许多进展。其中,驱动基因相关靶向治疗和免疫治疗的进展尤为令人鼓舞。重要的是,这些进展为转移性肺癌患者带来了更好的长期生存的可能性。这些遗传驱动因素的存在预示着相应口服酪氨酸激酶抑制剂 (TKI) 的治疗效果。免疫检查点抑制剂(ICIs)的出现为缺乏驱动基因突变的患者带来了新的希望。先前的研究表明,PD-L1肿瘤阳性细胞数(TPS)≥50% 很少与表皮生长因子受体 (EGFR)、间变性淋巴瘤激酶 (ALK)、c-ros 癌基因 1 (ROS1) 和其他驱动癌基因的存在重叠,然而,我们在此报告了一名患者,其最初的基因检测显示 ALK 融合与高 PD-L1 表达相结合。治疗的优先选择应该是什么?
2.临床资料
患者(女,34岁)因“反复发热、咳嗽20天”于2020年4月入住佳学基因合作医院呼吸科。患者的ECOG评分为1。患者没有潜在的病史吸烟或酗酒史,以及癌症家族史。
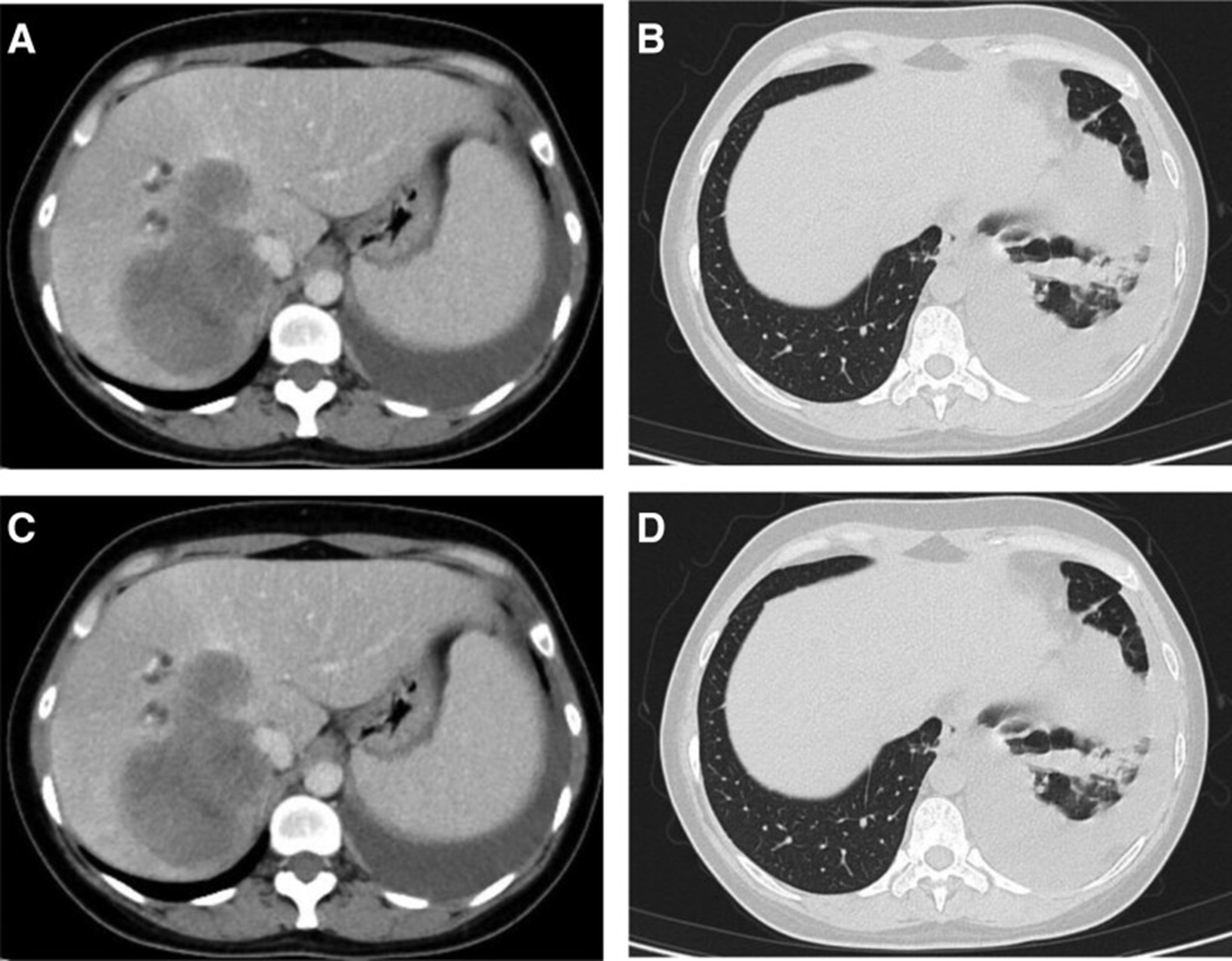
2020年4月,患者胸部CT示“双肺多发结节,纵隔及肺门多发肿大淋巴结;附着于肝右叶,略呈低密度肿块影”(图 1)。(图4A,4A、B)和腹部CT显示“肝脏多发肿块”(图1)。(图 4C)。骨扫描显示“身体多个部位的骨代谢异常增强”。2020年4月19日,对“右肝肿块和右锁骨上肿块”进行活检,病理指征(右肝肿块抽吸、右锁骨上肿块抽吸)为低分化腺癌。结合免疫组化结果,首先考虑的是肺腺癌转移。最终诊断为“IV期肺腺癌伴多发肝和骨转移”。基因检测显示“EML 4-ALK 融合,PD-L1 肿瘤阳性细胞数TPS 80%”(图 2)。(图1和和2)。

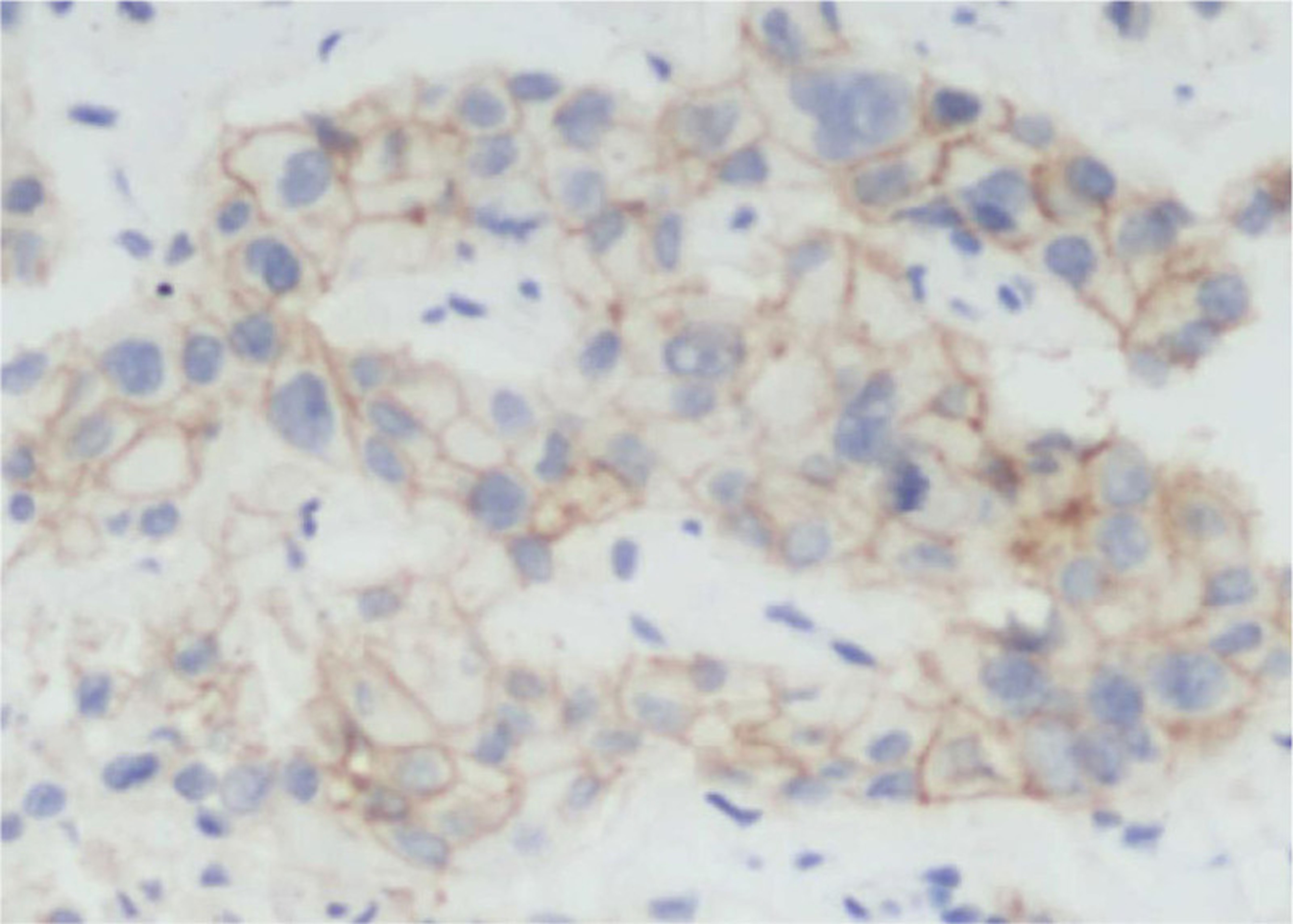
图1: 2020 年 4 月的 PD-L1 表达报告。

图 2:2020年4月基因检测报告。

图 3:2020年9月基因检测报告。
 和 2020 年 6 月 (D-F).jpg)
图 4:2020 年 4 月 (A-C) 和 2020 年 6 月 (D-F) 的 CT 扫描。CT = 计算机断层扫描。
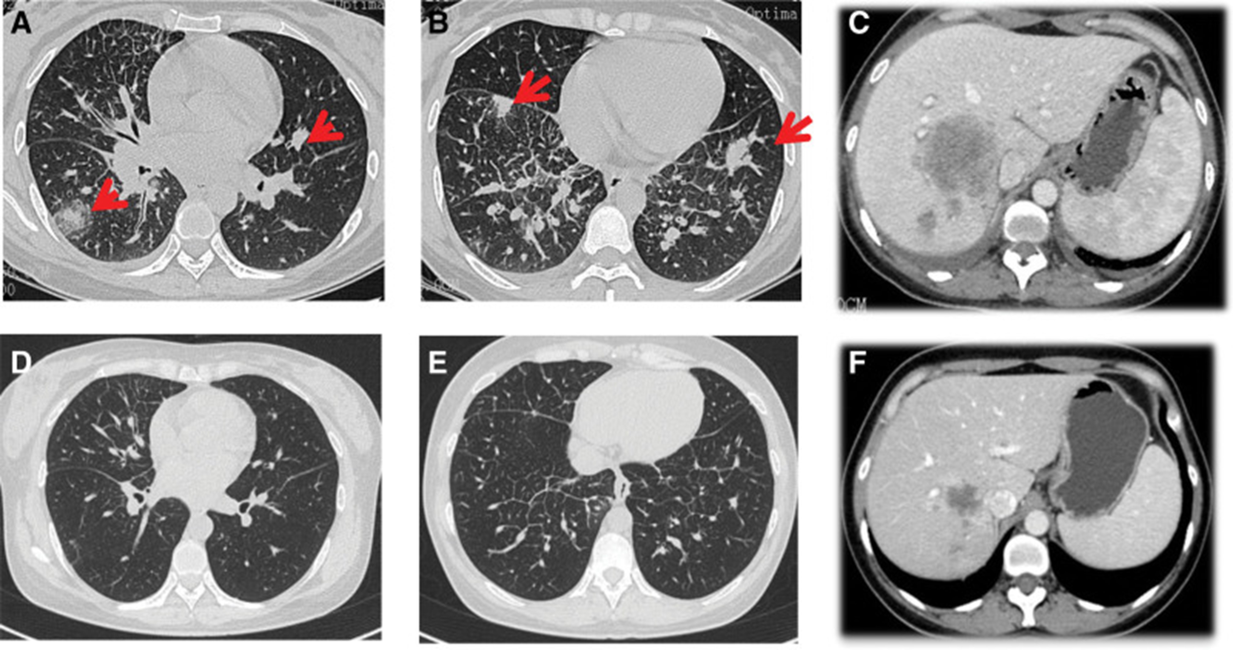
2020年5月1日,患者开始口服艾乐替尼靶向药物进行治疗,2020年6月25日复查,确定治疗效果为PR(部分有效)(根据RECIST1.1)显示肺病灶和肝转移灶明显减少(图1)。(图 3D-F)。2020 年 8 月 27 日复查确定治疗效果为疾病进展(PD, progressive disease),根据 RECIST1.1显示肝脏病变变大(图 1)(图 4A-D)。进行了第二次肝活检,随后的病理学显示“(肝)低分化癌,结合免疫组织化学分析考虑肺腺癌转移”。组织活检进行了第二轮基因检测,结果显示“BRAFV600E 14.79%,EML 4-ALK fusion 14.47%”(图 1)(图 5)。2020年9月20日,对患者我以为用恩沙替尼联合达拉非尼靶向治疗。治疗开始后,患者出现明显发热、寒战、乏力和厌食。期间患者左侧出现大量胸腔积液,胸腔积液中脱落细胞为“非典型细胞,考虑为腺癌”。随后,该患者接受了 1 次胸腔内铂输注。
和 2020 年 8 月.jpg)
图 5:2020 年 6 月(A 和 B)和 2020 年 8 月(C 和 D)的 CT 扫描。CT = 计算机断层扫描。
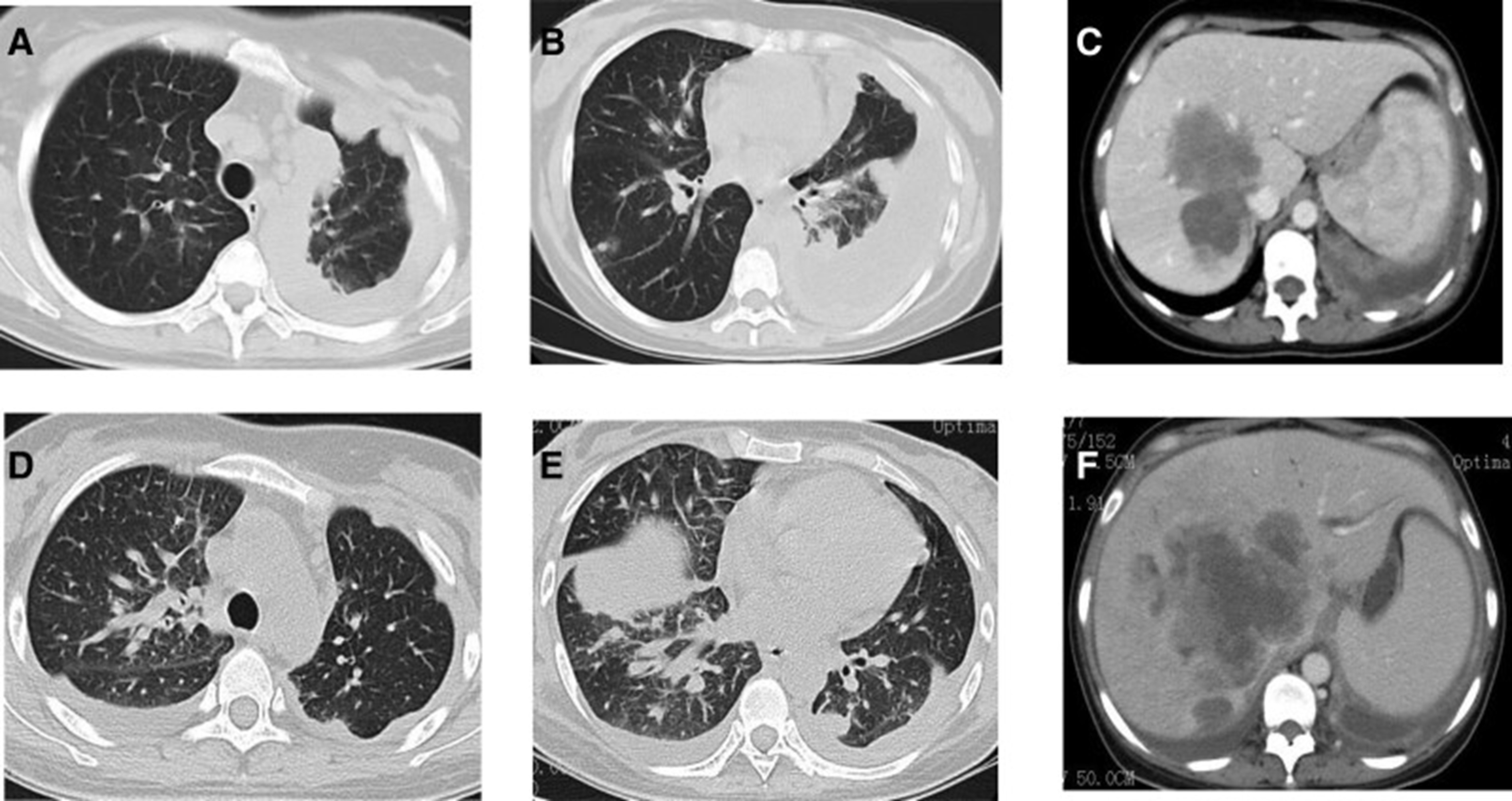
1个月后复查显示肺部和肝内病变进展(图1)。(图 6A-C)(根据RECIST1.1),她的抗肿瘤治疗改为“培姆曲塞加卡铂和贝伐单抗”的治疗一个周期。2020年12月至2021年1月,再次改变患者的治疗方案,这次改为“劳拉替尼联合达拉非尼”靶向治疗。使用 PD 联合胸部和腹部 CT 评估疗效(图 1)。(图 6D-F)(根据 RECIST1.1)。患者无法耐受化疗、靶向治疗、IO 治疗或任何其他积极的抗肿瘤治疗。这是因为患者的一般情况较差,包括发烧、腹痛和胆红素水平升高等症状。随后,给予患者静脉营养、镇痛等对症支持治疗。患者于 2021 年 2 月 4 日去世,总生存期(OS)为 10 个月。
 和 2022 年 1 月 (D-F) 的 CT 扫描.jpg)
图 6:2020 年 11 月 (A-C) 和 2022 年 1 月 (D-F) 的 CT 扫描。CT = 计算机断层扫描。
晚期肺癌基因检测结果及靶向药物治疗分析
根据对2020年全球癌症数据的统计分析,估计新增癌症病例220万例,死亡180万例。其中,肺癌是第二大最常见的癌症,也是癌症死亡的主要原因。非小细胞肺癌 (NSCLC) 占所有肺癌病例的 80% 以上,腺癌是最常见的类型。至关重要的是,大约 50% 的 非小细胞肺癌 患者在诊断时已经转移。这使得这些患者的治疗效不好。
据佳学基因解码基因检测的总结,非小细胞肺癌患者的5年相对生存率仅为5.5%。尽管如此,近年来肺癌的诊断和治疗都取得了许多进展。其中,驱动基因相关靶向治疗和免疫治疗的进展尤为令人鼓舞。重要的是,这些进展为转移性肺癌患者带来了更好的长期生存的可能性。
在晚期非小细胞肺癌患者中,驱动基因的突变率高达60%。常见的驱动基因包括 EGFR、ALK、ROS1、Kirsten 大鼠肉瘤病毒癌基因同源物 (KRAS) 和人表皮生长因子受体 2。这些肿瘤驱动基因的存在预示着相应口服 TKI 的治疗效果,与常规化疗相比,这些 TKI 靶向药物治疗常常有更持久的结果、更少的毒性和更好的生活质量相关。其中,TKI 治疗对 ALK 突变肿瘤的益处尤为显着。因此,它被称为“钻石突变”。2007年,EML4-ALK融合型在非小细胞肺癌中首次被发现,并被证实为肺癌的驱动基因。ALK融合阳性非小细胞肺癌的发病率约为5%,东西方人群之间无显着差异。 ALK-TKI,如艾乐替尼、克唑替尼和劳拉替尼,已被证明比化疗更有效。
ICI的出现为缺乏驱动基因突变的患者带来了新的希望。免疫检查点分子抑制剂靶向药物(ICI)单独或与化疗联合使用已被证明可显著延长肺癌患者的 OS 时间。更具体地说,经免疫检查点分子抑制剂靶向药物(ICI)治疗的晚期 非小细胞肺癌 患者的 5 年生存率已显示超过 15%。尽管免疫检查点分子抑制剂靶向药物(ICI)的预测性生物标志物仍然未知,基因解码临床研究数据统计表明,肿瘤和免疫细胞中的 PD-L1 表达与 非小细胞肺癌 患者的治疗结果相关。
在这里介绍的案例研究中,最初的基因检测表明存在 ALK 融合与高 PD-L1 表达相结合。更大的问题仍然存在:这是巧合还是两者的表达之间存在关系?先前的研究表明,PD-L1肿瘤阳性细胞数(TPS)≥50% 很少与 EGFR、ALK、ROS1 和其他驱动癌基因的存在重叠。然而,马等人表明,PD-L1蛋白在具有EML4-ALK融合基因的人肺腺癌细胞系中的表达高于没有融合基因的相同细胞系中的表达。此外,当在人肺腺癌细胞中诱导 EML4-ALK 表达时,PD-L1 蛋白表达显着增加。为此,Yoneshima等对80例EGFR/ALK阳性肺腺癌患者进行了回顾性分析。观察到以下细分: 9 例发生 ALK 重排;PD-L1 TPS≥1%占5例,其中TPS≥50%2例,占22.2%。高等人使用免疫组织化学评估 532 例肺腺癌中 PD-L1 的表达,包括 58 例 ALK 易位肿瘤。58 名 ALK 易位患者中有 47 名 (81%) 检测到 PD-L1。在确定PD-L1表达为中度至强的患者中,PD-L1表达的患者比例高达25.9%。这显着高于在具有 EGFR 突变、具有 KRAS 突变但缺乏 ALK 突变或具有 EGFR 或 KRAS 突变的肺腺癌中观察到的结果(所有P < .005)。此外,佳学肿瘤靶向药物基因检测发现,在常氧和缺氧条件下,这种 ALK 依赖性的 PD-L1 表达上调可能是由信号转导和转录激活因子 3 和缺氧诱导因子 1α 介导的。Li等人的工作和其他研究人员也提出,ALK 阳性 非小细胞肺癌 患者的 PD-L1 表达率较高。也就是说,具有这些驱动癌基因的患者中 PD-L1肿瘤阳性细胞数(TPS)≥50% 的频率是未知的。总的来说,目前与这个问题相关的基因解码仍然集中在小样本上,需要进一步的研究。
TKI 和免疫检查点分子抑制剂靶向药物(ICI)都是晚期 非小细胞肺癌 的重要治疗方法。大多数探索免疫检查点分子抑制剂靶向药物(ICI)的临床研究都排除了驱动基因阳性患者。然而,当患者临床基因检测结果显示驱动基因阳性和PD-L1高表达时,应该如何选择治疗?
Li 等人研究了 68 名 ALK 重排和 PD-L1 阳性的患者。他们的结果表明,高 PD-L1 表达患者的中位 PFS 较短。在随后的多变量分析中,PD-L1 表达(TPS ≥ 50%)仍然是第二代 ALK-TKI 在 ALK 重排 非小细胞肺癌 中临床疗效的负面预后因素。Koh 等人[ 17 ]分析了 81 例 ALK 突变患者的 PD-L1 表达与预后的相关性。与 PD-L1 表达阴性的患者相比,PD-L1 表达阳性的患者 PFS 和 OS 更短。此外,PD-L1强表达患者的PFS和OS明显短于其他患者。
TKI 与免疫检查点分子抑制剂靶向药物(ICI)结合怎么样?在 Checkmate370 中,一个 ALK 阳性 非小细胞肺癌 患者亚组接受了纳武单抗联合克唑替尼治疗。该队列计划招募 20 名患者,但被提前终止。这是因为参加联合治疗的 13 名患者中,5 名(38%)出现严重肝毒性,2 名死亡。ALK-TKI联合免疫治疗的相关研究较少,但其他TKI也有类似研究,如免疫治疗联合EGFR-TKI。例如,奥希替尼联合 durvalumab 的 Ib 期 TATTON 研究表明,间质性肺病的发病率可能会增加。在另一项对 56 名接受 durvalumab 与吉非替尼联合治疗的患者进行的 I 期研究中,肝脏 AE 的发生率显着高于先前报道的吉非替尼或 durvalumab 单药治疗。在阿特珠单抗加厄洛替尼的 Ib 期研究中,39% 的患者发生了 3/4 级不良事件,包括 ALT 升高 (7%)、发热 (7%) 和皮疹 (7%)。其中,18% 的患者经历了导致治疗中断的不良事件。鉴于与 TKI 和免疫疗法联合使用相关的毒性发生率相对较高,这种方法的进一步发展仍存在争议。鉴于此,使用 TKI 和免疫疗法的组合需要进一步研究。也有病例报道选择同时具有EGFR/ALK突变和PD-L1高表达的患者进行一线贝伐单抗联合放化疗治疗肺部病变。在此治疗方案下,疗效达到PR,随后进行ALK-TKI维持治疗。最终,患者实现了持续缓解。一般来说,联合突变患者的治疗效果较差,治疗方案需要进一步研究。
这里介绍的患者最初具有高 PD-L1 表达的 ALK 融合。她的初始 PFS 仅为 4 个月,这与肿瘤靶向药物基因解码中报道的其他 ALK 融合合并 PD-L1 阳性患者的短 PFS 一致。在艾乐替尼治疗后,患者随后在ALK融合的基础上出现了BRAF突变并进展。不幸的是,劳拉替尼联合达拉非尼的副作用太显著了。结果,患者没有接受足够量的上述药物,这可能影响了结果。最遗憾的是,该患者反复高烧,后期黄疸,PS评分差。因此,她无法接受免疫治疗或联合化疗/靶向治疗等主动抗肿瘤治疗。否则,
尽管晚期肺癌的患者使用艾乐替尼的 PFS 仅 4 个月,OS 仅 10 个月,但该病例提醒临床,当患者检测到 ALK 和 PD-L1 阳性时,ALK-TKI 单药治疗的疗效可能差,最优治疗模式还需进一步探索。
Response to treatment with an ALK-TKI in a patient with advanced lung adenocarcinoma with concurrent ALK fusion and high PD-L1 expression: A case report
Medicine (Baltimore); 2022 Aug 19;101(33):e30094.
(责任编辑:admin)